How can I Prevent a Hairline Fracture of 5th Metatarsal?
A hairline fracture of the 5th metatarsal, frequently known as a stress fracture, maybe a painful and debilitating damage. This form of fracture is not unusual amongst athletes, mainly runners, and those who engage in high-impact activities.
Preventing a hairline fracture of the 5th metatarsal is crucial to preserving foot fitness and universal mobility. Here are a few effective strategies that will help you avoid this injury.
Proper Footwear
Wearing the proper shoes is one of the most important steps in preventing a hairline fracture of the 5th metatarsal. Shoes should offer good enough assistance, cushioning, and balance in your feet. Make sure your footwear suits nicely and is appropriate for your precise activities. For example, jogging footwear is designed in another way from walking shoes, and sporting the wrong type can increase the chance of damage. Replace your shoes regularly to ensure they are preserved to provide important help.
Gradual Increase in Activity
Avoiding the unexpected will increase in physical pastime, mainly in case you aren’t conditioned for it. Gradually increasing the intensity and duration of your workouts permits your frame to evolve and strengthens your bones through the years. An unexpected spike in interest can lead to overuse accidents, together with hairline fractures. Follow an established schooling plan that consists of rest days to provide your body time to get better.
Strengthening Exercises
Incorporating foot and ankle strengthening physical games into your routine can extensively lessen the chance of a hairline fracture of the fifth metatarsal. Exercises which include calf raises, toe curls, and ankle circles assist in constructing the muscle tissues around the metatarsal bones, offering better assist and balance. Strong muscle groups absorb more effect, decreasing the strain on your bones.
Proper Nutrition
A balanced diet rich in calcium and nutrition D is important for bone health. Calcium enables build and hold sturdy bones, while nutrition D complements calcium absorption. Include dairy products, leafy vegetables, nuts, and fish in your diet. If you’ve got nutritional restrictions, recollect dietary supplements after consulting with a healthcare expert like Dr. Kris A. DiNucci, DPM, FACFAS.
Avoid Overtraining
Overtraining is a commonplace purpose of stress fractures. Listen to your body and avoid pushing through pain. If you enjoy chronic aches in your foot, particularly along the fifth metatarsal, take a spoil and seek clinical advice. Rest is crucial for restoration and preventing additional damage.
FAQs
What are the signs of a hairline fracture of the fifth metatarsal?
Symptoms encompass pain and swelling along the outer fringe of the foot, difficulty on the foot, and tenderness to touch. The ache typically worsens with pastime and improves with relaxation.
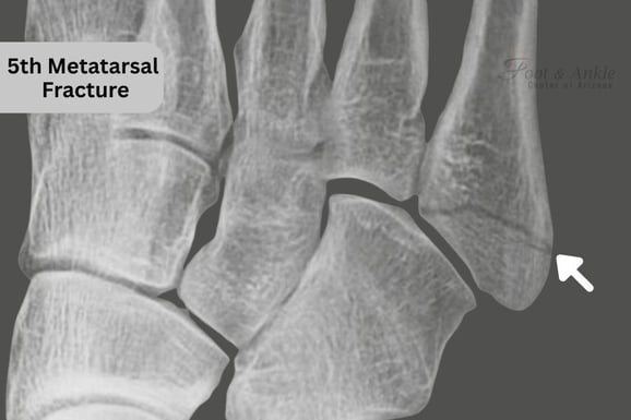
How is a hairline fracture of the fifth metatarsal identified?
A healthcare professional, including Dr. Kris A. DiNucci, DPM, FACFAS, will perform a bodily examination and might order imaging exams like X-rays or MRI to confirm the analysis.
What is the remedy for a hairline fracture of the fifth metatarsal?
Treatment commonly includes relaxation, ice, compression, and elevation (RICE). In a few instances, a strolling boot or solid may be necessary to immobilize the foot. Severe fractures may require surgical intervention, including ORIF metatarsal (Open Reduction and Internal Fixation).
Can I hold to exercise with a hairline fracture of the fifth metatarsal?
It’s vital to relax and keep away from weight-bearing activities till the fracture heals. Continuing to work can worsen the harm and lengthen restoration.
How long does it take to get over a hairline fracture of 5th metatarsal?
Recovery time varies depending on the severity of the fracture and the person’s recuperation charges. It generally takes 6-eight weeks for a hairline fracture to heal. Follow-up with your healthcare company is vital to make a certain right recovery.
Advanced Treatments
In a few cases, conservative treatments might not be sufficient for a hairline fracture of the fifth metatarsal. Surgical alternatives together with ORIF metatarsal, fifth metatarsal osteotomy, or 5th metatarsal osteotomy are probably taken into consideration. These tactics involve the surgical realignment of the bone and fixation with screws or plates to sell the right recovery. If you have a metatarsal fracture massive toe, metatarsal wail osteotomy, or first metatarsal-phalangeal problems, consult an expert for the nice path of movement.
Post-Injury Care
After recovering from a hairline fracture of the 5th metatarsal, it’s far essential to keep with preventive measures to keep away from re-damage. Gradually return to your sports, retain with strengthening exercises, and keep the right shoes. Regular take a look at-U.S. Your healthcare provider, inclusive of Dr. Kris A. DiNucci, DPM, FACFAS, can assist screen your progress and make vital adjustments to your recovery plan.
CPT Codes for Procedures
For those in the medical discipline, information on the CPT (Current Procedural Terminology) codes for precise tactics related to metatarsal fractures is crucial. Some relevant codes consist of:
- ORIF metatarsal fracture CPT: This code is used for billing functions when an open reduction and internal fixation method is carried out on a metatarsal fracture.
- CPT ORIF fifth metatarsal fracture: Specific to ORIF processes for the fifth metatarsal.
- Metatarsal fracture CPT: General code for billing metatarsal fracture treatments.
- Big toe metatarsal fracture: Refers to strategies precise to fractures of the big toe metatarsal.
- ORIF fifth metatarsal fracture CPT: Detailed code for ORIF processes at the fifth metatarsal.
- 2d metatarsal fracture surgical procedure: Code for surgical procedures related to the second metatarsal.
These codes are crucial for healthcare companies to correctly report and invoice for remedies finished.
Conclusion
Preventing a hairline fracture of the fifth metatarsal involves a mixture of proper footwear, sluggish hobby boom, strengthening exercises, appropriate nutrients, and keeping off overtraining. By taking those steps, you could reduce the risk of damage and keep wholesome ft. If you watched a fracture or revel in persistent foot ache, seek advice from a healthcare professional like Dr. Kris A. DiNucci, DPM, FACFAS, for an accurate prognosis and appropriate remedy. Remember, prevention is usually higher than therapy. Take care of your feet, and they may take care of you.


